20 yaş dişleri aslında sağlıklı birer diştir. Sağlamdır. Ağrısız ve düzgün çıkan hiç bir 20 yaş dişi kesinlikle çekilmemelidir. Fakat hem beslenme alışkanlıkları nedeniyle hem de zamanla insanların çene yapıları daha dar bir hal aldığı için dişler ağızda yeterli alan bulamamaktadırlar. Bu da 20 yaş dişlerini çözülmesi gereken bir sorun haline getiriyor.
20 yaş dişleri belirtileri:
20 yaş dişleri ilk başta şişerek ortaya çıkar. Çenenin arka tarafında ağrı oluşur. Şişkinlik bir süre sonra geçer ama birden tekrar şişkinlik olur. Bu yüzden sıkıntılı ve sancılı bir süreç işler. Eğer beklenirse kesinlikle 20 yaş dişleri zaman içerisinde dışarı doğru çıkar. Bu çıkan diş diğerlerinden ayrı bir şekilde hareket ettiğinden dolayı birçok sıkıntısı bulunmaktadır. Bu yüzden erken tedavisi önemlidir.
20 yaş diş ağrısının sebepleri nedir:
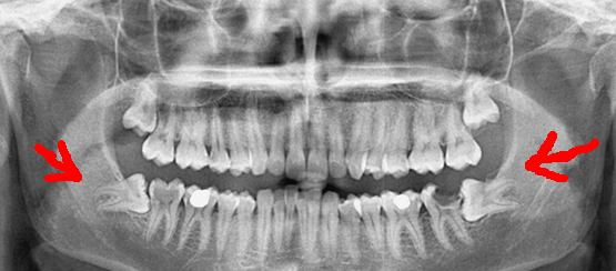
Aslında yazımızın içeriğinde buna kısmen cevap verdik. Bunun en önemli sebebi ağızda dişlerin yeteri kadar hareket edememesidir. Kendisine yer bulmak isteyen sağlam dişler, çenede sancılı bir sürecin başlamasına neden olmaktadır. Dayanılmaz hal alan acıların tedavi edilmediğinde daha vahim sonuçlar doğurduğunu söylemek gerek. 20 yaş dişinin kendisini engelleyen kemiği delmek için fizyolojik olarak iltihaplanma başlatacaktır ve başarılı olursa diğer dişlerinize çok ciddi bir baskı uygulayarak yerlerinin değişmesine yani çapraşıklık sorununa sebep olacaktır ki bu da sağlam bir ağrıya sebep olur. Bir diğer önemli sorun ise gömülü 20 yaş dişlerinin zamanla Kist ve Tümör oluşumuna sebebiyet vermesi olasılığıdır.
20 yaş dişleri çekilmesi gereken durumlar:
20 yaş dişleri ameliyatı veya tedavisi normal durumlarda fazla uzun sürmemektedir. Yaklaşık yarım saatte 20 yaş dişi çekim işlemi yapılabilir. 20 yaş dişlerinin aşağıdaki sorunlarla karşılaşıldığında mutlaka çekilmesi ve gereken tedavilerin yapılması gerekmektedir:
- Çürük,
- diş eti enfeksiyonu,
- basınç ağrısı,
- ortodonti,
- protez,
- kist oluşumu
20’lik dişler cerrahi müdahale sırasında:
- Diş bölgesi lokal anestezi ile uyuşturularak kısa bir süre içinde dişi çıkartmaya başlanır.
- Bu diş diğer diş çekimlerinden daha zor ve çok daha uzun süre içerisinde gerçekleşir. Bir nevi ameliyat şeklidir.
- Dişi almadan önce size belirli evraklar imzalatırlar. Çünkü ciddi anlamda birkaç defa diş bölgesini uyuştururlar.
- Oluşabilecek ufak bir durum karşısında prosedür gereği evrakları imzalatmak durumundadırlar.
20’lik dişlere yapılan cerrahi müdahale sonrası çok iyi bir bakım yapılması gerekmektedir. Çoğu insan diş doktorundan korkar; buna ben de dahilim: fakat 20 yaş dişleri sorunu eğer gereken önem verilmezse ağrıların daha da arttığı ve çekilmez bir hal aldığı duruma gelebilir. O yüzden korkuyu yenmeli ve doktorunuza güvenmelisiniz. Cerrahi müdahale sonrası ağız sağlığınız daha rahat bir hal alacak ve ağrılarınız geçecektir. Fakat müdahale sonrası doktorun vermiş olduğu reçeteye uymanız, ilk 24 saatte yemek yememeye, çiğnememeye dikkat etmeniz ve sigara gibi zararlı şeylerden uzak durmanız gerekmektedir.
Geçmiş olsun.
Kaynak: Yazı için bir çok diş doktorunun blog sayfalarından derleme yaptım. Her ihtimale karşılık diş doktorunuza görünüp ondan bilgiler almanızı ve ona göre hareket etmenizi öneririm. Buradaki 20 yaş dişi nedir ve çekilmesi gereken durumlar başlıklı yazım bilgilendirme amaçlıdır.
